Η άρθρωση του γόνατος-όπως είναι γνωστή στον απλό κόσμο-αποτελείται επί της ουσίας από δύο μικρότερες αρθρώσεις την επιγονατιδομηριαία και την κνημομηριαία. Όντας μία από τις βασικότερες αρθρώσεις του ανθρωπίνου σώματος που δέχεται φορτίσεις και καταπόνηση καθημερινά έχει θωρακιστεί από ανατομικά μέρη που την βοηθούν στην σταθερότητα (σύνδεσμοι), την απορρόφηση κραδασμών (μηνίσκοι) και την μείωση των τριβών μεταξύ των οστικών της δομών (χόνδροι). Στο παρακάτω κείμενο θα αναφέρουμε την λειτουργία των χιαστών συνδέσμων του γόνατος καθώς επίσης και το πώς τραυματίζονται αλλά φυσικά και το τι μπορούμε να κάνουμε μετά.
Γενικές πληροφορίες για τους χιαστούς
- Όπως κάθε σύνδεσμος ενώνει οστά και είναι υπεύθυνος για την σταθερότητα του γόνατος σε πρόσθια-οπίσθια ολίσθηση και στροφές.
- Οι γυναίκες αθλούμενες έχουν 4-6 φορές περισσότερες πιθανότητες κάκωσης από τους άνδρες.
- Σχηματίζεται κατά της 7η εμβρυική εβδομάδα και προέρχεται από το ίδιο εμβρυικό βλάστωμα με τους μηνίσκους.
- Αντέχει εφελκυστική δύναμη 7,2mm
- Μπορεί να αντέξει εφαρμογή τάσης 3200nm (λίγα παραδείγματα για να κατανοήσουμε το μέγεθος της τάσης αυτής σε καθημερινές δραστηριότητες από κάτω)
- Παθητική έκταση γόνατοςà100nm
- Βάδιση- 400nm
- Επιτάχυνση-επιβράδυνση-1700nm
Όπου 1kg =10nm
Mε άλλα λόγια ο χιαστός αντέχει πριν την θραύση του τάση της τάξης των 320κιλών, δηλαδή σχεδόν διπλάσια από όταν τρέχουμε ή επιβραδύνουμε!
Μηχανισμός κάκωσης-συμπτώματα
Δύο είναι οι πιο συχνοί μηχανισμοί κάκωσης του προσθίου χιαστού (σε αυτόν θα αναφερθούμε μιας και αποτελεί την συντριπτική πλειοψηφία των κακώσεων των χιαστών). Χωρίς επαφή του αθλούμενου με κάποιον αντίπαλο ή φυσικό εμπόδιο. Ο ασθενής συνήθως στρίβει πάνω στο γόνατό του (στρίβει ο κορμός) ενώ το πέλμα του είναι κολλημένο στο έδαφος (συχνά ακούγεται η διαπίστωση από τον ασθενή πως κόλλησε το πόδι κάτω), ενώ ταυτόχρονα ακούει ένα μικρό κρακ με έντονο πόνο στιγμιαία όμως. Με επαφή του ασθενή με άλλον αθλούμενο που συνήθως συνυπάρχει τραυματισμός και άλλου ανατομικού μέρους της περιοχής μιας και μιλάμε για πιο επιθετικό μηχανισμό κάκωσης.
Τα συμπτώματα είναι ο έντονος στιγμιαίος πόνος, το έντονο οίδημα στην περιοχή και η αστάθεια. Το επόμενο βήμα κάθε αθλούμενου που υποπτευθεί ή θεωρήσει δεδομένο πως είχε την ατυχία να υποστεί τέτοιον τραυματισμό είναι η εφαρμογή πάγου, η περίδεση, η αποφυγή οποιασδήποτε φόρτισης στο πάσχον μέλος και η άμεση επίσκεψη στο κοντινότερο κέντρο ιατρικής φροντίδας.
Διάγνωση
Για να γίνει σωστή διάγνωση μία ρήξης χιαστού συνδέσμου πρέπει να συμφωνούν η κλινική αξιολόγηση του πάσχοντος από τον ορθοπεδικό με την μαγνητική τομογραφία που θα γίνει (12-15 ημέρες μετά τον τραυματισμό για να έχει υποχωρήσει το οίδημα). Δηλαδή τα τεστ αξιολόγησης σταθερότητας του γόνατος να είναι σύμφωνα με εικόνα ρήξης από το απεικονιστικό μέσο. Τα τεστ που υπάρχουν για την αξιολόγηση μίας ρήξης υποδεικνύουν κάκωση αν δεν υπάρχει σταθερότητα στο γόνατο και θεωρούνται θετικά αν και η σύγκριση με το υγιές μας οδηγήσει σε αυτό το συμπέρασμα.
- Πρόσθιο συρταρωτό (Drawer test)
- Lachman`s test
- Pivot Shift test
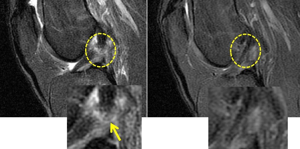
Μερικές εικόνες από μαγνητικές με ρήξη του προσθίου χιαστού συνδέσμου
Και με ακέραιους τους δύο χιαστούς
Αντιμετώπιση
Η αντιμετώπιση μίας τέτοιας κάκωσης εξαρτάται άμεσα από το αν η ρήξη είναι μερική ή ολική. Σε περιπτώσεις μερικής ρήξης συνήθως ακολουθείται η συντηρητική θεραπεία ενώ σε ολική ρήξη η επεμβατική. Υπάρχουν φυσικά και περιπτώσεις ολικής ρήξης όπου επιλέγεται η συντηρητική θεραπεία, δεν είναι λίγα τα παραδείγματα επαγγελματιών αθλητών που έπαιζαν και παίζουν χωρίς πρόσθιο χιαστό.
Για το αν κάποιος θα επιλέξει εν τέλει να μην χειρουργήσει τον κομμένο του χιαστό υπάρχουν συγκεκριμένοι λόγοι αλλά και απόψεις. Κάποιοι από τους παράγοντες που θα μας αποτρέψουν ή τουλάχιστον δεν θα μας επιβάλουν το νυστέρι είναι οι παρακάτω
- Ηλικία (συνήθως άτομα νεαρής ηλικία χειρουργούνται)
- Κιλά-κατάσταση μυικού συστήματος (άτομα υπέρβαρα ή με αδύναμο μυικό σύστημα συνήθως χειρουργούνται)
- Φύλο (οι γυναίκες λόγω πιο ισχνού μυικού συστήματος συνήθως χειρουργούνται)
- Άθληση-φύση δουλειάς ασθενούς (άτομα που ασχολούνται συστηματικά με κάποιο άθλημα ή που η φύση της δουλειάς τους επιβάλλει συνεχή φορτία συνήθως χειρουργούνται)
- Συνωδά προβλήματα (τυχόν συνυπάρχοντα προβλήματα υγείας αποτρέπουν ή οδηγούν ένα άτομο στο χειρουργείο π.χ. καρδιοπάθειες αποφεύγεται η επέμβαση)
- Προσωπική απόφαση ασθενούς
- Αντικρούοντες απόψεις ιατρών (καλό είναι να λαμβάνονται περισσότερες από μία απόψεις
Στο δεύτερο μέρος του άρθρου θα αναφερθούμε στην συντηρητική αντιμετώπιση, στην επεμβατική αντιμετώπιση και φυσικά στην αποκατάσταση.





























